Zuerst mal was ist Hufrehe überhaupt? Ganz ganz ganz kurz erklärt: wenn es im Hufbeinträger zur Ablösung kommt. Hä was bitte? Ablösung? Hufbeinträger?
Ok, ich probiere es dir mal zu erklären. Der unterste Teil des Skelettes ist das Hufbein, an dem kleinen Knochen hängt eigentlich das ganze Pferd. Im Huf verbindet sich dieses Hufbein mit der Hufbeinkapsel. Das Hufbein hat nicht die Knochenhaut wie wir es kennen, es ist eine Lederhaut mit kleinen Lammellen die von oben nach unten reichen. Unten im Huf ist die Hufkapsel mit den perfekt passenden Lammellen dazu und so fädeln sie sich perfekt ineinander ein. Genau diese Verbindung wo Hufbein und Hufkapsel verbindet nennt man den Hufbeinträger,
Die Hufbeinkapsel ist an der Hufwand befestigt, somit hängt das Pferd mit dem gesamten Gewicht an der Hufwand und steht nicht auf der Sohle.
Bei einer Akuten Hufrehe entzündet sich der Hufbeinträger (Verbindung Hufbein mit Hufkapsel), d.h. die Lammellen die perfekt ineinander eingefädelt sind beginnen sich voneinander zu lösen. Dies führt auch zu einer Minderdurchblutung des Hufes. Von Akut zu Chronisch kann es sehr schnell gehen (innert Stunden), da man von einer Chronischen Rehe spricht sobald es eine rhöngeologische Veränderung gibt.
Wie erkenne ich eine Hufrehe?
In den ersten 1-3 Tagen ist es noch nicht so richtig greifbar, eventuell fühlt man schon ein bisschen Pulsation. Bei Stoffwechselbedingter Rehe ist der Mähnenkamm extrem fest und/oder Fettdepots sind sehr hart. Wenn es in die Akute Phase geht ist die Pulsation sehr Stark, an den Seitenwänden des Hufes sehr warm, Zehenwand eher kalt, Pferd/Pony zittert, hat Wendeschmerz, kurz gebundener Gang, auf hartem Boden möchte es nicht gehen, liegt und schwitzt.
Was sind die sofortmaßnahmen?
Zuerst Tierarzt anrufen und danach gleich die Hufpflegerin die auf Hufrehe spezialisiert ist. Eine liste mit Hufpfleger/innen die den Rehekurs gemacht haben findest du hier. http://www.hufrehe-notfallplan.de/hufbearbeiter/
In dieser Zeit wo Tierarzt und Hufpflegerin auf dem Weg zu dir sind kannst du folgendes tun:
- Wenn du kannst nimm den Beschlag runter (Hufeisen/Klebebeschlag) und mache ein Notfallpolster. ( Wenn das nächste mal die Hufpflegerin kommt schaue es mit ihr an damit du für den Fall bereit bist)
- Kühle die Hufe bis hoch zum Karpalgelenk um den Vorgang zu bremsen. Der Huf ist sehr gut Isoliert, daher sollte es wirklich so lange wie möglich und bis zum Karpalgelenk hoch gekühlt werden. Am besten packst du die Hufe in einem Stiefel und füllst es mit Crushed ice für ca. 48h.
- Sofort Zuckerarmes Futter bereitstellen. Wenn ihr gerade nichts habt, legt das Heu für mind. 1h im Wasser ein und schüttet das Wasser weg da dort nachher der ganze Zucker drin ist.
- Keine Bewegung fürs Pferd/Pony
- Stellt es in eine Box die mit 40cm Späne! eingestreut ist! Nicht Weniger!!!
- Und ganz wichtig, das Pferd nicht entgiften! (Dies kann zu einem späteren Zeitpunkt gemacht werden)
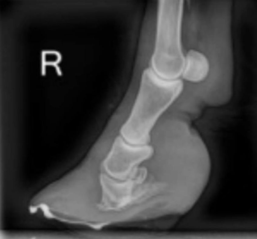
Der Tierarzt wird dein Pferd mit Medikamenten versorgen und am besten ein Röntgen machen.
Das Röntgenbild ist wichtig damit man sieht ob und wie sich das Hufbein in seiner Lage verändert hat. Die Hufpflegerin kann mit dem Bild ein Optimales Rehepolster machen.
Wieso eigentlich Beschlag runter und Rehepolster drunter? Ganz einfach, da sich der Hufbeinträger im Huf entzündet schwillt alles an und der Beschlag engt alles ein. Somit werden nur mehr schmerzen verursacht, ist der Beschlag runter kann sich das Huf ausdehnen und sich den Platz nehmen den es braucht.
Der aktuelle Stand ist so das mit der Arbeit vom Rehepolster und Schuh sehr gute Ergebnisse erzielt werden. Dem Polster seine Aufgabe ist es das Pferd in seiner Aufhängung abzufangen und das Hufbein wieder in seine ursprüngliche Position zu schieben. Damit das Polster unten am Huf bleibt braucht es natürlich einen Hufschuh. Die Spänebox ist dazu da damit das Pferd/Pony weich steht und es sich bei bedarf mit den Hufen eingraben kann und die Hufe in einem Winkel hinzustellen die es gerade braucht.
Osteophatische Begleitung bei Hufrege?
Unbedingt!!!
In den meisten Fällen ist die Rehe in den Vorderhufen was logischerweise dazu führt dass das Pferd/Pony das Gewicht mehr auf die Hinterhand legt damit es vorne Entlastung hat. Durch die neue Haltung kommt es zu Verspannungen, Überdehnungen, Fehlbelastungen und Fehlstellungen was wiederum zu schmerzen in den Verschiedenen Körperregionen führt. Daher ist es wichtig dein Pferd/Pony in dieser Zeit Regelmässig osteopathisch behandeln zu lassen.
Ab wann kann die Osteopahtin kommen?
Sobald die Hufpflegerin das 2. mal da wahr, dies ist ca. nach einer Woche.
Da das Huf 1 Jahr braucht bis es einmal durchgewachsen ist, musst du mit einen Jahr Rehepolster Rechnen. In vielen Fällen können die Pferde/Ponys nach diesem Jahr wieder Barhuf gehen und natürlich darf wer möchte sein Pferd/Pony wieder beschlagen lassen.


#Hufrehe #Pferdekrankheit #Stoffwechsel
